International Healthcare Services

Zirconium Crowns

Zirconium Crowns in Turkey

With zirconium crowns from HawksClinics offered in Turkey, bid farewell to lifeless, worn-down teeth and welcome to a self-assured, bright grin. Our zirconium crowns are ideal for people searching for a long-lasting, natural-looking grin.

What are Zirconium Crowns?

Zirconium crowns are a particular kind of dental crown constructed from zirconia, a durable and long-lasting ceramic substance, and are becoming more and more common in dentistry because of their strength, biocompatibility, and natural-looking appearance.

They are frequently used as a cosmetic dentistry treatment to replace missing teeth or to repair damaged or discoloured teeth. Zirconium crowns are a durable option for patients since they are also resistant to corrosion and wear.

Schedule A Consultation

To get the smile of your dreams, act now! to a happier, healthier, and more self-assured you. Our knowledgeable team is prepared to design a unique treatment plan just for you and assist you in achieving your dental objectives.
Make an appointment for your consultation with us right now to start along the path!

How Does This Procedure Work?

An effective dental treatment option for repairing the appearance and functionality of harmed or discoloured teeth is zirconium crowns. Here is a description of how zirconium crowns are made if you are thinking about having them.

Consultation and Examination: Arranging a consultation with a dental practitioner is the first step in receiving zirconium crowns. The dentist will check your teeth and go through your treatment options and goals during the consultation. Here is your chance to inquire and make sure zirconium crowns are the best option for you.

Preparation of the Affected Tooth: The dentist will start preparing the affected tooth as soon as you decide to move forward with zirconium crowns. Preparing the tooth for the crown entails removing any decayed or damaged areas of the tooth.

Take impressions of your teeth: The dentist will then do this. This entails moulding your teeth with a putty-like substance and sending the mould to a dental lab where a bespoke zirconium crown will be produced.

Installation of Temporary Crown: The dentist will place a temporary crown over the prepared tooth while you wait for your permanent crown to be created. In the interim, until the permanent crown is completed, this shields the tooth and aids in maintaining its size and shape.

Placement: Your dentist will take off the temporary crowns and place the zirconium crowns over your prepared teeth once your permanent crowns are ready. Then, they will make any required modifications to guarantee a good fit and bite.

You will receive instructions from our board-certified surgeons on how to take care of your new crowns. To make sure that your crowns are working well and to address any worries you might have, we will also arrange a follow-up session.

Benefits of Zirconium Crowns

Zirconium crowns are an effective dental treatment option that has many advantages. The following are some benefits of selecting zirconium crowns:

Natural-looking appearance: Zirconium crowns are renowned for their lifelike appearance and natural-looking appearance. A more realistic-looking smile is produced by the material’s translucence, which reflects light like actual teeth do.

Durability: Zirconium is a strong, long-lasting substance, making zirconium crowns resistant to wear, chipping, and cracking. Zirconium crowns can persist for many years if they are properly maintained.

Biocompatibility: Zirconium is biocompatible, which means that it won’t cause any poisonous or negative effects on the body. Zirconium crowns are a great alternative for those who could experience allergic reactions to other metals or materials.

Comfort: Zirconium crowns are created specifically to fit over your teeth, providing a snug fit that is both comfortable and secure.

Minimal Tooth Reduction: Zirconium crowns require less tooth reduction compared to other forms of dental crowns, allowing you to keep your natural teeth.

Zirconium Crowns “Turkey”

HawksClinics makes its services available in Turkey to give our clients a quick and affordable option for their Zirconium Crowns. Our clinic in Turkey offers the same superior levels of care as our other locations and has a team of skilled surgeons and sophisticated facilities.

We at HawksClinics take great pride in giving our patients exceptional results. According to our opinion, the success of a Zirconium Crown treatment in Turkey is defined not only by the physical results but also by how it impacts the patient’s overall quality of life.

Why Choose HawksClinics For Your Zirconium Crowns

At HawksClinics, we recognize that opting to alter your teeth is a major decision and are committed to providing our patients with the highest degree of care and support throughout their journey.
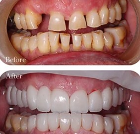
Check out the results for yourself!

Luxurious Inns

The potential time and financial commitments involved with having a facelift surgery are acknowledged by HawksClinics. We provide a five-star hotel experience for those of our patients who need to remain elsewhere while they recover.

Surgery on Veterans

Our doctors are dedicated to giving each of our patient’s individualized care and results that appear natural. They have performed facelift procedures for many years.

High-Tech Items

HawksClinics is committed to utilizing the most cutting-edge, sophisticated procedures and technologies to ensure that our patients receive the best results.

Scroll to Top