E-Max Veneers In Turkey
You want a smile that will shine brightly and illuminate any space. The E Max veneers provided by HawksClinics in Turkey are the only option. Improve your smile with the newest in dental technology and get ready to show off those dazzling whites like never before.

What Is E-Max Veneers
Dental veneers composed of ceramic material containing lithium disilicate are known as E Max veneers. These are tiny shells that are created to fit over a tooth’s front surface and are intended to enhance both the tooth’s beauty and functionality.
E Max veneers are a popular option among patients and dentists because they offer a long-lasting, minimally invasive solution for achieving a beautiful, confident smile. They are known for their strength, durability, and natural-looking aesthetics. They are frequently used to correct a variety of dental issues like chipped or stained teeth, gaps, and misshapen teeth.
Schedule A Consultation
Discuss your alternatives and create a customized treatment plan that addresses your specific requirements and goals, whether you’re contemplating E Max veneers or normal dental care or routine dental care as well as other cosmetic procedures.
Make a reservation or schedule a free consultation!
How Does E-Max Veneers Procedure Work?
Every patient wants to know how the procedure is carried out. Don’t worry; we’ve got you covered and have broken down the method for your convenience.
Consultation: To find out if E Max veneers are the best course of treatment for you, the first step is to book a consultation with a dentist. The dentist will check your teeth and talk with you about your objectives and goals during the consultation.
Preparation: The next step is to prepare the teeth by removing a small layer of enamel from the front surface if E Max veneers are determined to be appropriate for you. This will guarantee that the veneers will fit properly and adhere.
Impression: Once the teeth are prepped, the dentist will take an imprint of your teeth, which will be sent to a dental facility to make your custom E Max veneers.
Bonding: After the veneers are finished, the dentist will gently bind them to the front surface of your teeth using a specific dental adhesive. To achieve a secure and natural-looking fit, the veneers will be adjusted and polished.
E Max veneers may give you a stunning, self-assured smile and can endure for many years with regular maintenance. Consult with one of our board-certified surgeons before indulging to get things started.
Benefits Of Having E-Max Veneers
Aesthetics: Cosmetic concerns including discoloration, chipping, cracks, and misalignments can all be fixed with E Max veneers, which also improve the aesthetics of teeth. They offer a durable, realistic alternative for attaining a stunning, self-assured grin.
Durability: High-quality lithium disilicate ceramic material, which is renowned for its strength and endurance, is used to create E Max veneers. E Max veneers are a cost-effective and beneficial investment in your oral health since, with regular maintenance, they may endure for many years.
Minimally Invasive: E Max veneers are minimally invasive, requiring just a small layer of enamel to be removed from the teeth, in contrast to several other cosmetic dental operations. This indicates that the operation takes only a little time and is pleasant, with little discomfort and recovery time.
Stain-resistance: E Max veneers are extremely stain- and discoloration-resistant, so they will continue to look natural over time even if you regularly drink coffee, tea, or other stain-causing beverages.
Easy Maintenance: E Max veneers are simple to maintain; all that is needed is regular brushing, flossing, and checkups at the dentist. They are practical and hassle-free options for enhancing your smile since they can be cared for like genuine teeth.
E-max Veneers "Turkey."
Turkey is where HawksClinics offers its services to give customers a quick and economical option. Our dental clinic in Turkey provides the same high standard of service as our other sites and is equipped with cutting-edge technology, a staff of qualified dental surgeons, and modern facilities.
At HawksClinics, we take great satisfaction in providing outstanding outcomes for our patients. The effectiveness of these veneers will depend on how they look physically and how they affect our patients’ overall quality of life in Turkey.
Why Choose HawksClinics For Your E-Max Veneers?
HawksClinics is dedicated to offering our patients the greatest caliber of treatment and assistance throughout their journey since we recognise that choosing to have surgery is a significant choice.
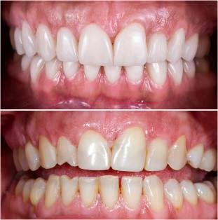
See the findings for yourself!
Luxurious Inns
The potential costs and time commitment connected with E-Max Veneers are known to HawksClinics. For patients who must stay somewhere else while they heal, we provide a five-star hotel experience.
Professionals In Dentistry
Dental experts with experience and high skill levels are available from HawksClinics. They use the most recent methods and technology to ensure that your teeth are whitened safely and effectively.
Personalized Treatment Plans
HawksClinics offers individualized treatment regimens to meet the unique requirements of each patient. They will work with you to develop a plan that is specifically tailored to your needs and goals.
